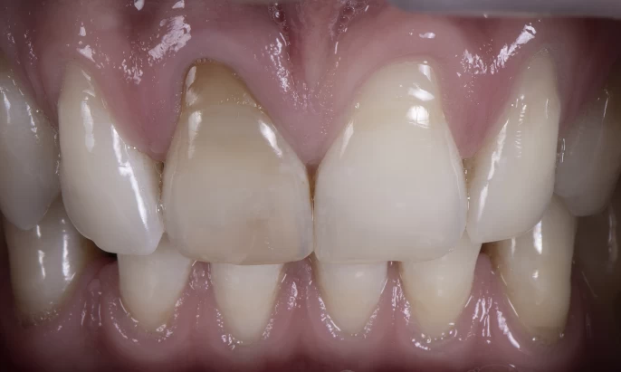
Коррекция рецессии десны

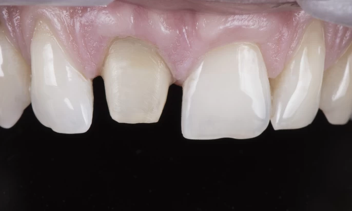
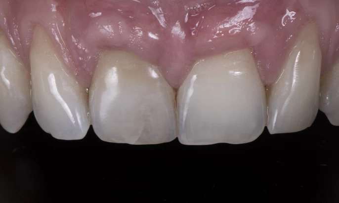
Лечение началось с коррекции рецессии десны путем пересадки свободного десневого трансплантата, восстанавливая здоровье и эстетику десен. Следующим шагом была профессиональная сессия отбеливания зубов с использованием технологии Beyond, придавая зубам более яркий и привлекательный вид.

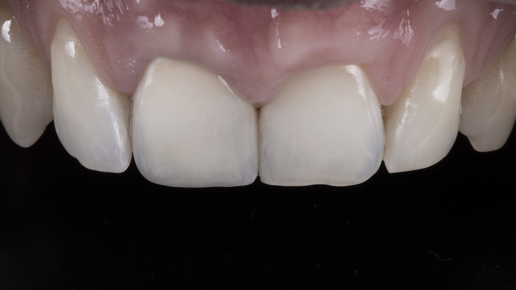
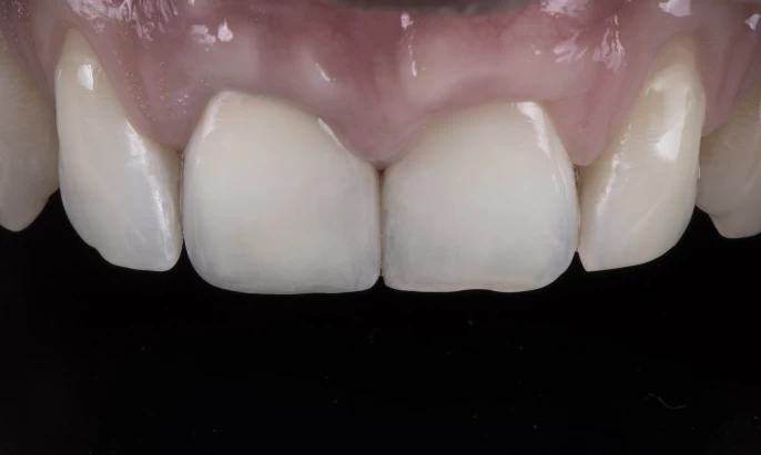
Затем была изготовлена многослойная коронка из циркония, обеспечивающая прочность и превосходную эстетику обработанному зубу, завершая процесс восстановления улыбки пациента."