• О нас
  • Услуги
  • Случаи из практики
  • Цены
  • Отбеливание Beyond
  • Контакты
  • + 373 612 11 511
  • Str. Independenței 4/6, Chișinău

SpectrumDental.md
  • О нас
  • Услуги
  • Случаи из практики
  • Цены
  • Отбеливание Beyond
  • Контакты
  • Ru
  • Ro
  • En
  • + 373 612 11 511
  • Str. Independenței 4/6, Chișinău
  • Ru
  • Ro
  • En
Image - 1
Image - 2
Image - 3
Image - 4
Image - 5
Image - 6
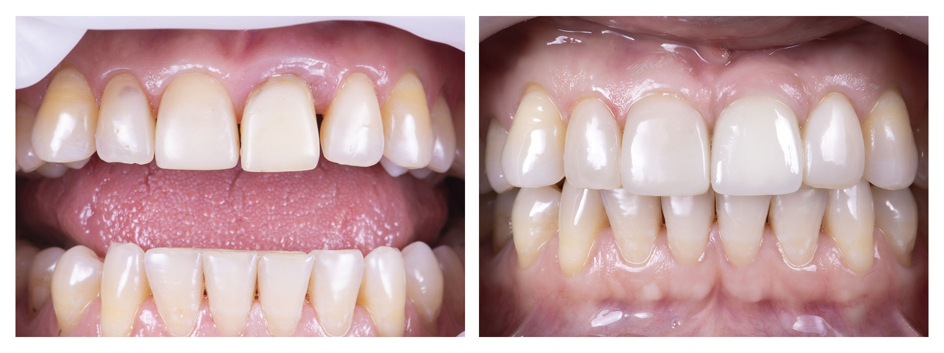
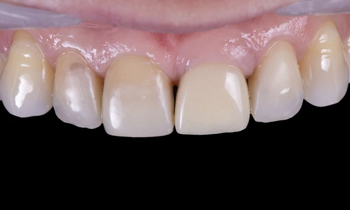
Вернуться к нашим работам
SpectrumDental.md

"Качество, внимание к деталям и уважение к здоровью полости рта - наши основополагающие принципы для идеальной улыбки".

Str. Independenței 4/6, Chișinău,
Republica Moldova, MD-2043

Лечение
  • Диагностика
  • Лечение зубов
  • Отбеливание зубов
  • Пародонтальные процедуры
  • Отбеливание зубов
Spectrumdental
  • О нас
  • Услуги
  • Случаи из практики
  • Цены
  • Контакты
  • + 373 612 11 511
  • Понедельник - Пятница 09.00-19.00

Copyright © 2026
  • Положения и условия
  • Политика конфиденциальности
  • Защита персональных данных

Error translate: