• About us
  • Our technology
  • Before & After
  • Pricing
  • Whitening
  • Contact
  • + 373 612 11 511
  • Str. Independenței 4/6, Chișinău

SpectrumDental.md
  • About us
  • Our technology
  • Before & After
  • Pricing
  • Whitening
  • Contact
  • Ru
  • Ro
  • En
  • + 373 612 11 511
  • Str. Independenței 4/6, Chișinău
  • Ru
  • Ro
  • En

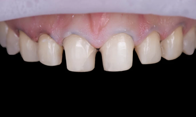
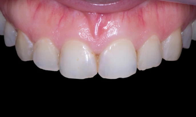
galerie-6

  • Home
  • Before & After
  • galerie-6
Image - 1
Image - 2
Image - 3
Image - 4
Image - 5
Back
SpectrumDental.md

"Quality, attention to detail and respect for oral health are our fundamental principles for a perfect smile"

Str. Independenței 4/6, Chișinău,
Republica Moldova, MD-2043

The treatment
  • Diagnosis
  • Treatments
  • Teeth whitening
  • Periodontal Treatments
  • Teeth Whitening
Spectrumdental
  • About us
  • Our technology
  • Before & After
  • Pricing
  • Contact
  • + 373 612 11 511
  • Monday - Friday 09.00-19.00

Copyright © 2026
  • Terms and conditions
  • Privacy policy
  • Personal data protections

Error translate: